close


img

13+ Years of Dental Excellence

Best Dentist Near Me in Baner

⭐⭐⭐⭐⭐ 5/5 Star Rating from 500+Happy Patients | Same-day appointments available | Pain-free procedures guaranteed | Trusted by 11,000+ Baner families for 13+ years

Inside Our Dental Clinic Near You

Clean. Modern. Safe

img
img
img
img
img
img
img

13+

Years of Experience in Cosmetic Dentistry

12.4k

Happy Smile Designing Cases

20k+

Happy Patients with Happy Smiles

542

5 Star Reviews on Google

Request A Call Back

Why Choose Sai Multispecialty Dental Clinic

Trusted by Thousands of Smiling Patients

Experienced & Trusted Dentists

With over 13 years of experience, our expert team has helped thousands of patients restore their smile. If you’re looking for a reliable dental clinic near me, you’re in safe, skilled hands.

Rated 5★ by 500+ Happy Patients

Nothing builds trust like real reviews. From Google to word-of-mouth, patients love our care, our staff, and the results. Our clinic is proud to be one of the highest-rated dental clinics in Baner, Pune.

Same-Day Appointments

We understand your time is valuable. That’s why we offer same-day appointments, fast service, and a staff that treats every patient with warmth, respect, and patience

REVIEWS & TESTIMONIALS

Real Stories. Happy Smiles. Trusted by Thousands in Baner, Pune

Highly recommended dentist in Baner

I was suggested to visit Sai Multispecialty Dental Clinic in Baner by my relative. My experience was stress free and painless. Doctor was very gentle and professional. I am really happy for the care I received! Highly recommended best dentist in Baner area.

-Usha

Doctors don't push unwanted treatments

I just searched “dentist near me” and booked with Sai Multispecialty Dental Clinic. Got same-day appointment. All concerned Doctors in clinic are helpful & no misguidance. Very polite & co-operative staff. Good experience overall.

- Tushar Gujar

Great Experience altogether

Had extreme tooth pain, checked for a dental clinic near me. Sai Multispecialty Dental Clinic in Baner gave me really quick appointment. Doctor was gentle and made me so comfortable. And after the process they took follow up the next day also.

- Rinku Biswas

Flexible appointment management

I visited Sai Multispecialty Dental Clinic for a lost crown. The crown was very accurate and did not need any modifications. They adjusted my appointment time considering my tight schedule. The place is neat, no waiting, and the pricing was also reasonable. Staff treated me well.

- Saurabh Khotkar

Loved everything so far

Found Sai Multispecialty Dental Clinic while searching for a dental clinic near me. WhatsApp booking was quick. Receptionist was sweet and doctor was very calm. Clinic felt really hygienic too.

- Shivraj Patil

Doctor is skillfully delicate

I had been to Sai Multispecialty Dental Clinic for failed RC treatment (messed by earlier dentist). Honestly, I was scared but didn’t feel a thing. Doctor was patient, used good equipment, and gave full time. Definitely best dentist near me. I would always suggest their name in Baner for any dental problem.

- Rajeev Ghodake

Your Trusted Dentist In Baner

img

Dr. Archana Satpute, BDS, MDS

I’m Dr. Archana Satpute, BDS, MDS, and I’ve been serving the Baner community for over 13 years as the lead dentist at Sai Multispecialty Dental Clinic, where we’ve treated more than 20,000 patients with care and commitment. Many of our patients find us while searching for a dentist near me or dental clinic near me, and they stay with us because we focus on ethical, pain-free treatment, honest guidance, and a calm, hygienic environment. My mission has always been to make dental care more approachable and trustworthy, where patients feel heard, never rushed, and completely comfortable from consultation to follow-up.

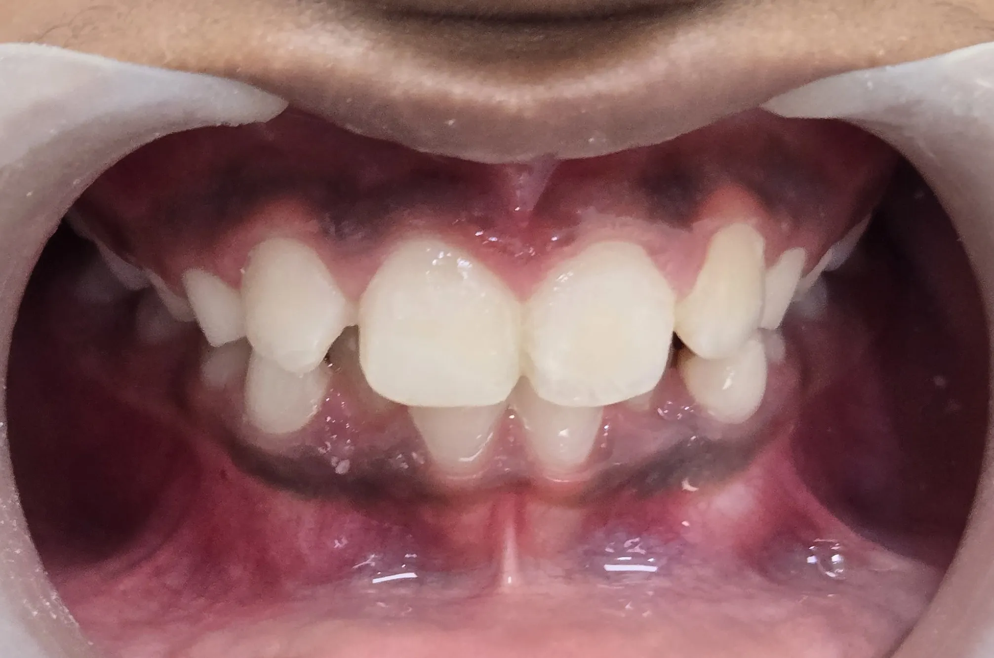
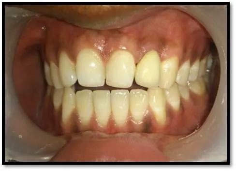
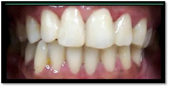
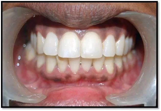
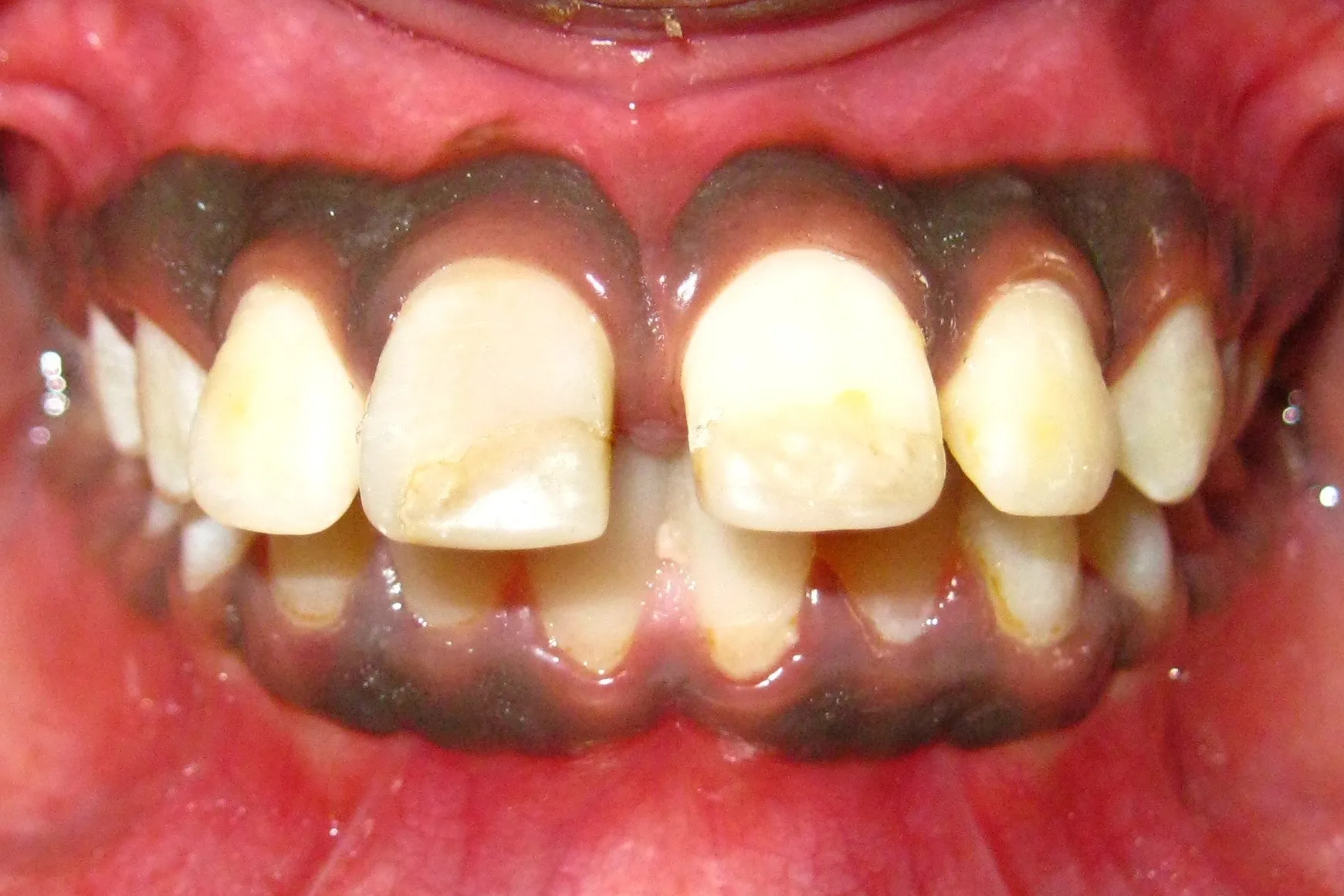
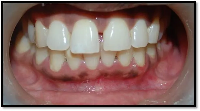
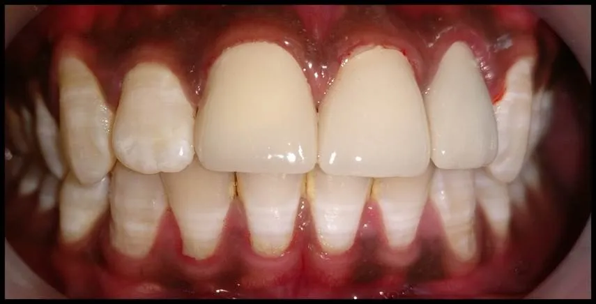
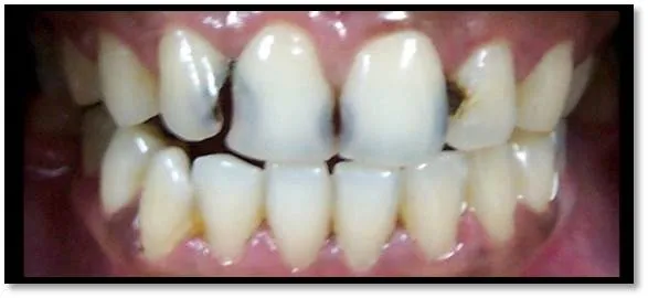
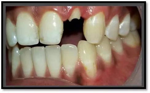
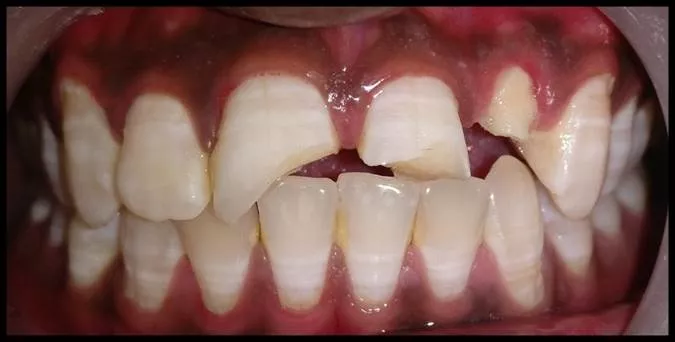
SMILE TRANSFORMATIONS

Transformations at Sai Multispecialty Dental Clinic

img
img
img
img
img
img
img
img
img
img
img
img

Expert Care, Close to Home

img

Root Canal & Crowns

img

Clear Aligners

img

Dental Braces

img

Dental Implants

img

Full Mouth Rehabilitation

img

Gum Surgeries

Get in Touch With Us

Clinic Phone Number

+91 7020380193

Clinic Address

Sai Multispeciality Dental Clinic, Shop No. 101, Alacrity Commercial Complex, Near Bitwise Terra Tower, Mohan Nagar, Baner, Pune, Maharashtra 411045

Frequently Asked Questions:


How do I find a trusted dentist near me?

The best way to find a reliable dentist is to look around your area, read online reviews, and speak to people you trust. Many people search for a dentist near me or dental clinic in Baner and check photos or ratings before deciding. More than just a clinic, it’s about how comfortable you feel, whether the doctor listens, whether the place looks clean, and whether things are explained properly. Once you find a place that makes you feel calm and understood, that’s usually the right one for you.

Do you offer same-day appointments?

Yes, we try to keep slots available for urgent cases. If you suddenly have pain or discomfort, it's best to call or message us right away. A lot of people searching for a dentist in Baner prefer same-day bookings when something can't wait. While appointments help us plan better, we always try to accommodate walk-ins or emergencies as much as possible. It’s better to check once before coming so we can save you waiting time and prepare everything in advance.

Is your dental clinic in open on weekends?

We are open on weekends in most cases. Many patients find it easier to come on Saturdays or evenings due to work or family schedules. If you're looking for a dental clinic near me with flexible timings, just drop us a message and we’ll guide you. We understand not everyone is free during weekdays, so we try to be available when it's convenient for you. Some slots may get booked quickly though, so it's best to check ahead.

How do I book an appointment?

You can call us, send a message on WhatsApp, or use the booking form on our website. Many people in looking for a dentist near me prefer WhatsApp because it’s fast and easy. Once we know your name and preferred time, we’ll confirm your slot and share the details. If you have questions about the treatment or directions to the clinic, our team is happy to help. The idea is to make things simple so you feel relaxed before even walking in.

Do you treat anxious or first-time patients?

Yes, we do. In fact, many people who come to us are either nervous or haven’t seen a dentist in a long time. If you’re searching for a dental clinic near you but feel unsure or afraid, just know that you're not alone. We take extra care with such patients we explain things slowly, give time to settle in, and check in with you throughout the treatment. There's no rush here. Your comfort comes first, and you're always in control of how things go.

What services do you provide?

We offer most common dental treatments in one place cleanings, fillings, root canal treatments, cosmetic work, braces, and more. If you’re looking for a dentist in Baner for regular check-ups or something specific, we’ll first understand your need and then suggest the best option. You don’t have to know the names of procedures before visiting that’s what we’re here for. Our goal is to give you simple, clear information and let you decide what works best.

How much does a consultation cost?

We keep our consultation fees reasonable so more people can access quality dental care. If you just want to get something checked before deciding, we’ll walk you through the process clearly. Many people looking for a dental clinic in Baner want to know the cost before coming and that’s completely understandable. Once you contact us, we’ll share all the details. No surprises, no unnecessary treatments just honest guidance.

Do you accept walk-ins?

Yes, walk-ins are welcome depending on the day’s schedule. If you're in and need a dentist near me urgently, you can drop by or call ahead. We try to keep some buffer for people who have unexpected issues like toothaches or swellings. If you message before coming, we can help reduce your wait time. Our team will guide you on the best time to come so you don’t have to sit too long or return later.

Is the treatment painful?

Most treatments are not painful, especially with modern methods. We use proper numbing, go step-by-step, and always check how you're feeling. If you’ve been avoiding a dentist near you because of fear, know that we hear this a lot and we understand. Once things are explained clearly and you’re comfortable, most people feel much more relaxed. You're always free to take breaks during the treatment too. Our aim is to make your visit as easy as possible.

Do you treat children and families?

Yes, we regularly see children, parents, and elderly patients. If you're looking for a dental clinic in Baner that’s friendly with kids or convenient for families, you're in the right place. We try to make the experience light and stress-free, especially for little ones who might be nervous. You can even book appointments together as a family if that works better. We believe dental care should be comfortable for all age groups from toddlers to grandparents.

What hygiene and safety measures do you follow?

We maintain a clean and safe environment in the clinic. All tools are properly cleaned, the staff wears protective gear, and we sanitise surfaces regularly. If you’re visiting a dentist near me and are concerned about hygiene, that’s a valid and important question. We also give time between patients to clean everything properly. Patients often tell us they feel safe here just by how we manage cleanliness. We treat this as a non-negotiable part of care — not just something we say.

Do you offer EMI or flexible payments?

Yes, we try to make payments easy, especially for treatments that need multiple visits. If you're planning something like cosmetic work or aligners and wondering how to manage the cost, feel free to ask us. People often message us saying they’re looking for a dentist in with payment flexibility and we do our best to help. Our team will explain your options clearly and let you decide what suits you best. The focus is on care first, not pressure.

Why choose this clinic over others near me?

Choosing a dental clinic is about more than location it’s about how you feel when you walk in. Patients looking for a dental clinic near me often say they chose us because things feel calm and genuine here. We give you time, explain the treatment, and let you decide without rushing or forcing anything. It’s not just about fixing teeth it’s about feeling safe, heard, and cared for. That’s what makes the difference.

Powered by @AltXEd